Machine Learning, Medicine, radiology Intro to Sentence Analysis for Radiology Label Extraction (SARLE) July 21, 2022
Machine Learning The Complete Guide to AUC and Average Precision: Simulations and Visualizations July 14, 2020
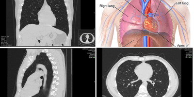
Machine Learning, Medicine, radiology Automatic Interpretation of Chest CT Scans with Machine Learning March 5, 2020
Machine Learning Connections: Log Likelihood, Cross Entropy, KL Divergence, Logistic Regression, and Neural Networks December 7, 2019
You must be logged in to post a comment.